척추관 협착증
척추 신경이 지나가는 통로를 척추관이라고 하며 어떤 원인에 의해서 척추관이 좁아지면서 생기는 질환을 척추관 협착증이라고 합니다.
Q 척추관 협착증은 무엇인가요?
척추의 모양
Q 척추관 협착증은 왜 생기나요?
척추관절도 다른 관절과 마찬가지로 나이가 들면서 관절염이 오고
퇴행성 변화가 생기게 되는데, 이런 퇴행성 변화에 의해 척추관이 좁아지는 경우 입니다.
척추 관절과 디스크의 퇴행성 변화로 주변의 인대나 뼈 등이 두꺼워지면서 척추관이 좁아지고 그 안에 있는 신경이 눌리면서
여러가지 증상이 생기는 것입니다. 보통 4-5번 허리뼈 사이에서 가장 많이 발생하고 여성에서 더 호발한다고 알려져 있습니다.
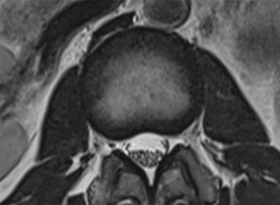
정상 척추관
좁아진 척추관
Q 어떤 증상이 생기나요?
가장 특징적으로 환자들이 호소하는 증상은 걸을 때 양쪽 다리가 아프거나 저려 오래 걷기가 힘들다는 것입니다.
통증은 보통 엉치 부위에서 무릎 쪽으로 퍼져나가며, 환자는 '엉치가 빠질 것 같다' 또는 '종아리가 터질 것 같다'는 표현을 쓰기도 합니다.
이 때, 의자에 앉거나 쪼그려 앉으면 증상이 소실되어 다시 걸을 수 있게 됩니다.
질환이 심해질수록 한 번에 걸을 수 있는 거리가 점점 짧아지고, 일상생활이 힘들어지게 됩니다.
질환 초기에는 허리나 엉덩이 부위의 막연한 불편감만 있어 참고 생활하다가 병이 진행하면서 위와 같은 증상이 나타나 병원을 찾는 것입니다.
병이 더욱 심하게 진행한 경우에는 다리에 힘이 빠지고 소변 보기가 힘들다는 증상을 호소하기도 합니다.
엉치통증
허리통증
하지방사통
Q 어떻게 치료해야 하나요?
척추관 협착증은 신경이 주변의 뼈나 인대에 의해 눌리면서 신경으로 가는 혈액순환이 나빠지고,
염증 반응이 일어나 엉치나 다리 쪽으로 통증이 생기게 됩니다. 따라서 완전한 치료는 신경을 누르고 있는 원인을 제거해서
신경이 지나가는 통로를 넓혀주는 것이지만, 이는 수술을 통해서 시행해야하기 때문에 환자에게 여러가지로 부담을 줄 수 있습니다.
척추관 협착증 자체가 고령에서 생기기 때문에 수술적 치료는 신중하게 결졍해야 하며, 그 전에 보존적 치료를 시행합니다.
앞서 언급했듯이 신경이 눌리는 것 뿐만 아니라, 그 주변의 염증에 의해서 통증이 생기기도 하기 때문에
보존적 치료는 이런 염증을 가라앉히는데 목표를 두고 있습니다.
소염제, 진통제, 근 이완제 등이 사용됩니다. 이런 약물치료는 앞서 언급한 침상 안정과 병행해서 시행하면
급성 통증이 있을 때 효과가 있습니다. 이외에도 혈액 순환을 개선해서 통증을 치료하는 약물도 있습니다.
복근과 허리근육을 강화시켜 허리뼈를 잘 지탱하도록 하는 운동이 있으며, 자전거 타기나 경사진 곳을 걷는 운동이 도움이 됩니다.
하지만 약물이나 주사 없이 물리치료만으로는 효과가 떨어지기 때문에 병행하는 것이 좋습니다.
이런 기본적인 치료에도 반응하지 않을 때에는 신경 주변에 직접 강력한 소염제인 스테로이드를 주사하는 신경차단술 치료도 있습니다.
진단과 치료 모두에 아주 효과적이나 오히려 감염 등의 합병증이 생길 수도 있으므로 신중히 사용해야 합니다.
이런 모든 치료에 반응하지 않을 경우 수술을 고려합니다.
